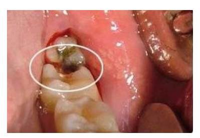
齲齒都有哪些治療方法?不痛可以不用管嗎?

來院路線
Route

地址:上海市靜安區(qū)長壽路839號(hào)(智慧廣場5樓5001室)
電話:021-5298 1020
傳真:021-5298 1020
郵箱:huishangkouqiang@163.com
滬ICP備18040473號(hào)-1????滬醫(yī)廣【2021】第06-08-C304號(hào)
@版權(quán)所有未經(jīng)允許不得轉(zhuǎn)載,上海匯尚口腔對此保留法律訴訟的權(quán)利


掃描二維碼分享到微信